注册帐号丨忘记密码?
1.点击网站首页右上角的“充值”按钮可以为您的帐号充值
2.可选择不同档位的充值金额,充值后按篇按本计费
3.充值成功后即可购买网站上的任意文章或杂志的电子版
4.购买后文章、杂志可在个人中心的订阅/零买找到
5.登陆后可阅读免费专区的精彩内容
打开文本图片集
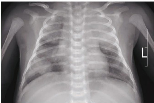
【关键词】新生儿;慢性X-连锁肉芽肿病;免疫缺陷34型;分枝杆菌感染;造血干细胞移植 中图分类号:R725.9 文献标志码:B DOI: 10.3969/j .issn.1003-1383.2026.01.016
新生儿慢性肉芽肿病(chronicgranulomatousdisease,CGD)由于其发病率较低且患儿缺乏明显的临床症状,常常在临床实践中被新生儿科医生忽视,从而导致治疗延误。(剩余7960字)
登录龙源期刊网
购买文章
新生儿慢性X-连锁肉芽肿病合并免疫缺陷34型1例报道及文献复习
文章价格:5.00元
当前余额:100.00
阅读
您目前是文章会员,阅读数共:0篇
剩余阅读数:0篇
阅读有效期:0001/1/1 0:00:00